یکی از موثرترین روشهای پیشگیری از بیماریهای لثوی، بهداشت منظم دهان و دندان است. مسواک زدن باکتریها و میکروبهای عفونتزا را از بین میبرد.
به گزارش مرزاقتصاد : بیماریهای لثوی، گروهی از بیماریها هستند که به بافتهای نرم و سخت اطراف دندانها، از جمله لثه و استخوانهای نگهدارنده دندانها، صدمه میزنند. این بیماریها معمولا بهدلیل تجمع پلاکهای دندانی و باکتریها روی دندانها و لثهها ایجاد میشوند. از این بیماریهای لثوی میتوان به چند مورد زیر اشاره کرد:
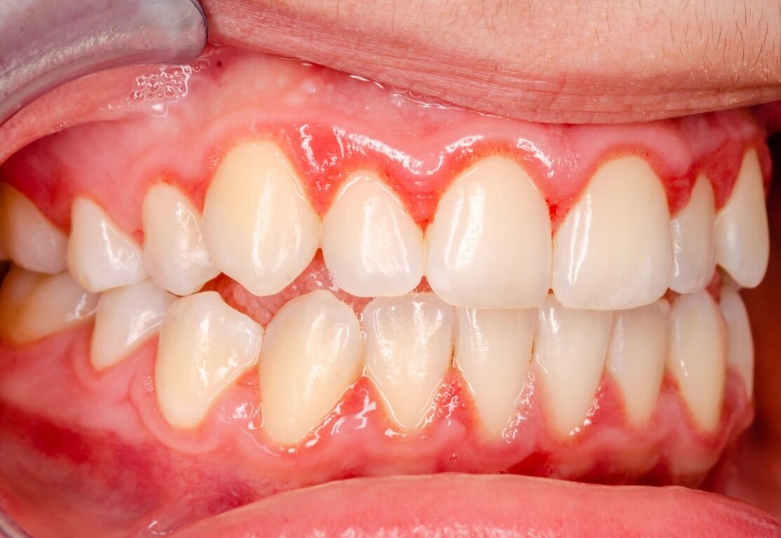
۱. التهاب لثه (ژنژیویت): در این بیماری، پلاکهای دندانی در خط لثه جمع شده و لثه را تحریک و حساس و گاهی خونآلود میکنند. با درمان مناسب، این بیماری برطرف میشود. اما با حفظ بهداشت دهان میتوان جلوی التهاب لثه را گرفت.
۲. پریودنتیت (پیوره): وقتی التهاب لثه درمان نشود، پیوره رخ میدهد. در این بیماری، استخوانهای نگهدارنده دندانها از بین میروند و دندانها لق شده و میافتند.

۳. دهان خندقی: نوعی عفونت غیرمسری و غیرسرطانی در لثههاست که خیلی ناگهانی شروع میشود و با درد لثه و خونریزی و زخم در لثه بین دندانها همراه است.
بیماریهای لثوی معمولا بهدلیل وجود پلاکهای دندانی که حاوی انواع باکتریهای بیماریزا هستند به وجود میآیند. بنابراین با حفظ بهداشت دهان و دندان میتوان از این نوع بیماریها پیشگیری کرد.
اگر بیماریهای لثوی درمان نشوند، عفونت ناشی از آن میتواند منجر به ابتلا به بیماریهای دیگر مانند روماتیسم مفصلی، بیماریهای تنفسی مانند بروشیت، ذاتالریه، سرطان ریه، بیماریهای قلبیعروقی، دیابت، مشکلات بارداری، آپنه، سرطان دهانی، پوکی استخوان، بیماریهای کلیوی و آلزایمر شود.
در مورد آلزایمر، باکتریهای بیماریزای دهانی موجب کاهش سلولهای مغز و شروع بیماریهای آلزایمر و اشکال دیگر فراموشی میشوند. خوشبختانه با آزمایشی ساده میتوان وجود این نوع باکتری را تشخیص داد و با از بین بردن این باکتری، فرد را از ابتلا به آلزایمر رها کرد.
در آخر باید بگوییم بیماریهای لثوی روی حال روحی و احساسات فرد هم اثری منفی میگذارد و بهدلیل درد مزمن در لثهها، خستگی و سردردی که ایجاد میکند، فرد را به افسردگی میکشاند.
با حفظ بهداشت دهان و دندان خود را از ابتلا به بیماریهای گوناگون دور نگهدارید.

